メタルフリー治療|青葉台なかむら歯科|青葉台・藤が丘の歯医者|土日診療
- 〒227-0055 神奈川県横浜市青葉区つつじが丘1-14
- 045-532-9911
メタルフリー治療
Clinic point!!
当院では詰め物や被せ物の精度を高く保つため、専用の材料を使った型取りを行い、一流の技工士とタッグを組んでおります。そのため、型取りや詰め物などの作製には多めに時間を要します。それは私たちに“絶対に妥協をせず100点満点のものを!”という想いがあるからです。

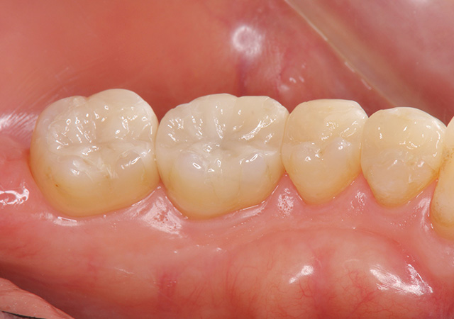
歯科治療では、金属が一般的に使用されています。日本で使用されている保険治療の金属は合金で、様々な金属が混ざっており、金属アレルギーを引き起こす原因となる場合があります。メタルフリー治療とは、金属(卑金属)を使用せず、セラミックスで詰め物や被せ物を作る治療方法です。
※メタルフリー治療は自由診療となります。

「銀歯」と呼ばれている金属の詰め物(インレー)、被せ物(クラウン)には、銀ではなく金銀パラジウム合金が使用されています。金銀パラジウム合金は、「金、銀、パラジウム、銅」のほか、インジウム等、様々な金属を含みます。そのため次のような悪影響が挙げられます。
金属が唾液に溶けて体内に取り込まれ、タンパク質と結合してアレルゲン(異物)とみなされると、アレルギー症状を引き起こすことがあります。
差し歯の土台や、被せ物の金属が溶け出して歯茎に沈着すると、歯茎が黒ずんだり、変色を引き起こしたり、審美性を損ねます。
銀歯は目立つため、笑う時に手で口を覆ってしまう人もいます。白い歯列の中で、銀歯はやはり目立ってしまいます。
2次カリエスとは、むし歯治療を行った部分が、再びむし歯になることをいいます。2次カリエスの主な原因のひとつに、銀歯の劣化が挙げられます。歯と詰め物、被せ物の間に隙間ができると、そこにむし歯が発生しやすくなります。
海外と日本
金銀パラジウム合金は日本でしか使用されておらず、ドイツやスウェーデンでは保健省が“幼児や妊婦”の健康への影響を考え、使用を禁止しています。

メタルフリー治療の最大のメリットは、金属アレルギーのリスクがなくなることです。メタルフリー治療は、文字通り金属を一切使用しないことから、詰め物、被せ物がアレルゲン(異物)となりません。現在金属アレルギーを持っている人だけでなく、金属アレルギーのリスクが心配な人も安心できるメリットがあります。
歯科用合金を用いた詰め物、被せ物は、金属イオンが溶出し、歯茎に沈着することがあります。その結果、メタルタトゥーと呼ばれる歯茎の黒ずみが生じます。主にセラミックを用いたメタルフリー治療では、そうした歯茎の黒ずみの予防が可能です。
メタルフリー治療は、基本的に自由診療となります。そのため、銀歯のような保険診療よりも費用が高くなります。
当院の技工士は、世界的に有名な技工士の元で研鑽を積んできました。当院の院長とは5年以上の付き合いで、患者様の歯を美しく、機能的に治すという共通の想いを持ちながら、1本の歯の被せ物のことで1時間以上話すこともあります。お互いに妥協ができない性格のため、治療にはお時間をいただくこともありますが、必ず満足していただけるものと確信しています。
むし歯の大きさや部位により異なります。コンポジットレジンとセラミックス、それぞれに長所がありますので、ご相談ください。
レジンは吸水性があり、セラミックに比べると削れやすい材料です。
まれに、レジンアレルギーをお持ちの方はおられます。
削る量は最小限にし、麻酔を十分に効かせてから治療をすすめます。事前に不安な点があればなんでもご相談ください。
材料にこだわり、しっかり接着させるため、通常のお食事などで取れたりすることはまずありません。しかし前歯で氷などの硬いものを噛んだり、強い衝撃が加わると欠けてしまうことがあります。
古くなったからというだけで、入れなおす必要はありません。割れてしまったりすることはまれにありますので、定期検診では噛み合わせなどをしっかり診る必要があります。